Ночной кашель у ребенка без температуры — распространенная проблема, вызывающая беспокойство у родителей. Этот симптом может быть вызван аллергиями, инфекциями и другими факторами. В статье рассмотрим основные причины ночного кашля, способы его успокоения и эффективные методы лечения, чтобы помочь родителям обеспечить комфортный сон ребенку.
Причины появления ночного кашля у ребенка
Ночной кашель у ребенка без повышения температуры можно успешно устранить, если выяснить его причины и предпринять необходимые шаги.
Факторы, способствующие возникновению кашля:
| Причина | Описание |
| Неправильное положение | Если малыш долго лежит в одном положении, слюна может накапливаться и стекать в заднюю часть горла, что вызывает раздражение и затяжной кашель. Решить эту проблему можно, приподняв голову ребенка на более высокую подушку. |
| Аллергия | Аллергические реакции могут возникать при контакте с аллергенами, такими как цветы, определенные продукты, химические вещества, шерсть животных, пыль или насекомые. Кашель в этом случае может быть как сухим, так и влажным. |
| Прорезывание молочных зубов | Появление первых зубов у детей может сопровождаться различными симптомами, включая ночной кашель. Кроме того, могут наблюдаться повышенная температура и насморк. В таких случаях родителям стоит запастись терпением, так как кашель прекратится после прорезывания зубов. |
| Ринит | Даже незначительные признаки насморка у ребенка могут привести к ночному кашлю. Слизь, которая мешает дыханию днем, ночью может накапливаться в горле, вызывая частые приступы кашля. Как только насморк будет устранен, кашель исчезнет. |
| Низкая влажность воздуха | Это особенно актуально зимой, когда включено отопление. Горячие батареи быстро высушивают воздух в помещении, что приводит к пересыханию слизистых оболочек у ребенка и, как следствие, к кашлю. Регулярное увлажнение воздуха в спальне, с помощью увлажнителей или простых средств, таких как влажные полотенца на батареях, поможет решить эту проблему. |
| Гельминты | Родителям следует помнить, что кашель может быть признаком наличия паразитов в организме. Личинки, попадая в дыхательные пути, могут вызывать кашлевую реакцию. |
| Заболевания | Кашель может указывать на начало серьезного заболевания. В таких случаях важно обратиться к врачу и начать лечение как можно скорее. |
Ночной кашель у ребенка без температуры может вызывать тревогу у родителей. Врачи подчеркивают, что подобные симптомы часто связаны с аллергическими реакциями, например, на пыль, шерсть животных или пыльцу. Также причиной могут быть респираторные инфекции, которые не всегда сопровождаются повышением температуры. Для облегчения кашля специалисты рекомендуют увлажнять воздух в комнате, использовать ингаляторы с физиологическим раствором и обеспечивать ребенку достаточное количество жидкости. Важно также обратить внимание на положение ребенка во время сна: приподнятая голова может облегчить дыхание. Если кашель не проходит или усиливается, необходимо обратиться к врачу для дальнейшего обследования и назначения лечения.
Ночной кашель у ребенка без температуры может вызывать беспокойство у родителей. Эксперты отмечают, что такой симптом часто связан с аллергическими реакциями, раздражением дыхательных путей или сухим воздухом в помещении. Важно обратить внимание на качество воздуха: использование увлажнителей может значительно облегчить состояние ребенка. Также стоит проверить, нет ли у малыша аллергии на пыль, шерсть животных или другие раздражители.
Для успокоения кашля специалисты рекомендуют применять теплые напитки, такие как травяные чаи или теплое молоко с медом, если нет аллергии на мед. В некоторых случаях могут помочь и специальные сиропы от кашля, но их следует использовать только по рекомендации врача. Если кашель продолжается длительное время или сопровождается другими симптомами, важно обратиться к специалисту для диагностики и назначения адекватного лечения.

Виды заболеваний, при которых появляется ночной кашель у ребенка
Чтобы точно выявить причину появления кашля, необходимо определить, к какому виду он относится.
Ночной кашель у ребенка без температуры может быть:
- Лающий. Появляется у ребенка среди ночи через нескольких часов после засыпания. Звуки, которые ребенок издает, похожи на лай. Лающий кашель может возникнуть при воспалении трахеи или гортани. Кроме небольшого просвета гортани, у детей, чей возраст еще не превышает 5-ти лет, под голосовыми связками находится рыхлая ткань, содержащая в себе много кровеносных сосудов. По достижении 5-летнего возраста она обычно атрофируется. Лающий кашель может привести к нехватке кислорода, из-за чего появляется приступ удушья.
- Сухой. Может появляться каждую ночь и постоянно усиливаться. Причиной его появления чаще всего является астма. Другое название сухого кашля – непродуктивный. Он сопровождается болью и покраснением в горле.
- Слабый. Может появиться после прогулки малыша. Он, как правило, сопровождается высокой температурой, насморком и болью в мышцах.
- Булькающий. Может возникнуть, если у ребенка не первые сутки проявляются признаки простуды. Дыхание становится быстрым и раздраженным, появляются свистящие звуки.
- Приступообразный. Может появиться у ребенка в случае, если простуда длится уже больше недели. Такой приступ может продолжаться до 20 мин, при этом затрудняется дыхание и во время вдоха появляются судорожные звуки.
- Сильный. Если простуда не проходит уже больше недели и ее симптомы ухудшаются, то может появиться сильный влажный кашель. Дыхание ребенка учащается.
- Сиплый. Появляется при воспалении голосовых связок. Он может сопровождаться характерным хрипом.
- Судорожный. Появляется при коклюше. В этом случае ребенок может без перерыва кашлять на протяжении 30 секунд, а после этого долго пытаться нормализовать дыхательный ритм. Если малышу еще не исполнилось одного года, то коклюш для него станет тяжелым. Зачастую это заболевание сопровождается рвотой.
- Влажный. Обычно сопровождается насморком и отделением мокроты. У ребенка воспаляется горло, он теряет аппетит, появляется слезоточивость. По-другому влажный кашель называется продуктивным. У детей он проходит тяжелее, чем у взрослых. Это связано с тем, что молодой организм выделяет больше густой мокроты.
- Затяжной. Обычно появляется после какой-либо болезни дыхательных путей и может продолжаться более 2-х недель.
- Если кашель долго не проходит, то он может являться симптомом какой-либо хронической болезни.
- Остро возникающий. Продолжается обычно меньше 2-х недель. Он появляется сначала как сухой, затем постепенно переходит во влажный.
| Причина ночного кашля | Как успокоить/остановить | Лечение (без температуры) |
|---|---|---|
| Сухой воздух в помещении | Увлажнитель воздуха, влажная уборка, проветривание комнаты перед сном. | Увлажнение слизистых оболочек: солевые растворы для носа, обильное теплое питье. |
| Аллергия (пыль, шерсть, пыльца, бытовая химия) | Устранение аллергена, гипоаллергенный быт, частая влажная уборка. | Антигистаминные препараты (по назначению врача), промывание носа солевыми растворами. |
| Рефлюкс (ГЭРБ) | Не кормить ребенка за 2-3 часа до сна, приподнять изголовье кровати. | Диета, препараты, снижающие кислотность (по назначению врача). |
| Остаточные явления после ОРВИ (слизь стекает по задней стенке глотки) | Приподнятое положение головы во время сна, промывание носа солевыми растворами. | Муколитики (по назначению врача), обильное теплое питье. |
| Увеличенные аденоиды | Промывание носа солевыми растворами, увлажнение воздуха. | Консультация ЛОР-врача, возможно, медикаментозное лечение или хирургическое удаление. |
| Пассивное курение | Полное исключение курения в присутствии ребенка и в доме. | Устранение раздражителя. |
| Инородное тело в дыхательных путях (редко, но опасно) | Немедленно вызвать скорую помощь! | Экстренная медицинская помощь. |
| Психогенный кашель (стресс, волнение) | Создание спокойной обстановки перед сном, исключение стрессовых факторов. | Консультация психолога/невролога, успокаивающие травяные сборы (по назначению врача). |
| Начало простуды (без температуры, но с другими симптомами) | Обильное теплое питье, увлажнение воздуха, промывание носа. | Симптоматическое лечение (по назначению врача), противовирусные препараты (если показаны). |
Интересные факты
Вот несколько интересных фактов о ночном кашле у детей без температуры:
-
Разнообразие причин: Ночной кашель у детей может быть вызван различными факторами, включая аллергии, астму, рефлюкс, а также сухой воздух в помещении. Понимание причины кашля может помочь в выборе правильного лечения и методов успокоения.
-
Положение тела: Кашель может усиливаться в горизонтальном положении, так как это может способствовать накоплению слизи в горле. Поднятие головы ребенка с помощью дополнительных подушек может помочь уменьшить кашель и улучшить дыхание во время сна.
-
Эффективные домашние средства: Для облегчения ночного кашля можно использовать увлажнители воздуха, мед (для детей старше одного года), а также теплые напитки, такие как чай с лимоном. Эти средства могут помочь успокоить горло и уменьшить раздражение, что способствует более спокойному сну.
Важно помнить, что при длительном или сильном кашле стоит обратиться к врачу для диагностики и назначения лечения.
![Ночной кашель у ребенка [Супердети]](https://i.ytimg.com/vi/Q8jWNh0N1rg/maxresdefault.jpg)
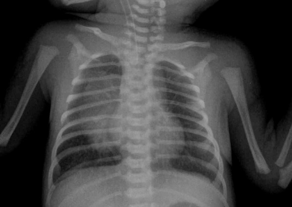
Диагностика ночного кашля у ребенка
Начальная диагностика дыхательных органов осуществляется через физикальное обследование грудной клетки. Врач также проводит осмотр горла и носа. Тембр кашля и наличие или отсутствие определенных звуков при дыхании могут указать на причину его появления. Например, свистящие звуки могут свидетельствовать о том, что кашель вызван астмой.
Наиболее распространенным методом диагностики кашля является рентгенография, которая отличается высокой степенью надежности.
Лабораторные исследования применяются в тех случаях, когда после рентгенографии возникают подозрения на инфекцию. В рамках лабораторного анализа проводится исследование крови. Если есть подозрение на коклюш, дополнительно анализируется содержимое носоглотки и быстрые антигены.
Ночной кашель у ребенка без температуры — это распространенная проблема, вызывающая беспокойство у родителей. Многие замечают, что такой кашель может быть вызван аллергией, сухим воздухом или простудой. Важно обратить внимание на условия, в которых спит ребенок: использование увлажнителя воздуха может значительно улучшить его состояние. Также стоит проверить, нет ли у малыша аллергии на пыль или домашних животных.
Для облегчения кашля можно предложить теплое молоко с медом (при отсутствии аллергии) или травяные чаи. Необходимо обеспечить ребенку достаточное количество жидкости. Если кашель не проходит или усиливается, следует обратиться к врачу для исключения серьезных заболеваний. Помните, что своевременное внимание к симптомам поможет избежать осложнений и обеспечит спокойный сон для всей семьи.
Когда необходимо обратиться к врачу
Если ребенок еще совсем маленький и не умеет говорить, родителям будет очень трудно выявить причину кашля. Ведь они не смогут узнать, какие симптомы беспокоят их чадо, есть ли у него боль или нет. Необходимо как можно быстрее обращаться к врачу.
Самую большую опасность кашель представляет для детей, которым еще нет 1 года. Если в этом возрасте будут проявляться такие признаки, как повышенная температура, отсутствующий аппетит, хриплое дыхание, рвота, синюшность вокруг губ, необходимо незамедлительно обращаться к врачу.

Профилактика ночного кашля у ребенка
Чтобы избежать возникновения ночного кашля, важно придерживаться следующих профилактических рекомендаций:
- Исключить контакт ребенка с аллергенами. Если у малыша выявлена аллергия, необходимо своевременно давать ему назначенные врачом лекарства. Также стоит установить в комнате, где он спит, очиститель воздуха.
- Обеспечить оптимальные условия микроклимата. В этом помогут специальные устройства для поддержания нужного уровня влажности и температуры.
- При первых признаках заболевания сразу начинать лечение. Это позволит не только быстро справиться с начальной стадией болезни, но и предотвратить возможные осложнения, которые могут проявляться в виде ночного кашля.
- Регулярно проводить влажную уборку в комнате, где спит ребенок. Это поможет избавиться от пыли. При наличии кашля особенно важно поддерживать чистоту и влажность воздуха, особенно в зимний период, когда работает отопление.
- Для предотвращения простудных заболеваний необходимо закалять ребенка. Это включает в себя прогулки на свежем воздухе, регулярные водные процедуры и соблюдение комфортной температуры в спальне.
- Правильное питание также играет важную роль в профилактике кашля. Ребенок должен получать все необходимые витамины и микроэлементы, чтобы его иммунная система была крепкой. Зимой полезно предлагать ему натуральные растительные средства для укрепления иммунитета.
- Не забывайте о регулярной гигиене рук. Это поможет предотвратить попадание вредных бактерий в организм.
Методы лечения ночного кашля у ребенка
Ночной кашель у ребенка без температуры лечить можно специальными медикаментами или народными методами.
Лекарственные препараты
Лечение кашля с помощью медикаментов зависит от причины, вызвавшей это состояние.
Также важно учитывать тип кашля. При сухом кашле врачи рекомендуют использовать такие препараты, как Коделак, Синекод, Лазолван и Гербион.
Для влажного кашля подойдут АЦЦ, Грудной эликсир и Пертуссин.
Крайне важно правильно выбрать лекарство: средства, предназначенные для сухого кашля, не подходят для лечения влажного, и наоборот.
Некоторые медикаменты можно применять в виде ингаляций с использованием небулайзеров, что особенно удобно для маленьких детей.
Помимо специализированных средств от кашля, могут понадобиться и другие препараты, такие как:
- Антибиотики при инфекционных заболеваниях, которые назначаются после определения возбудителя.
- Средства для промывания носа, например, аквамарис, аквалор и долфин.
- Антигистаминные препараты, если кашель вызван аллергией. Они помогают уменьшить раздражение рецепторов и снять отек.
- Глюкокортикостероиды для борьбы с воспалительными процессами, которые могут быть назначены при бронхиальной астме.
- Противовирусные средства, если кашель вызван вирусной инфекцией, такие как Циклоферон и Анаферон.
При сухом кашле врачи часто рекомендуют специальные сиропы и таблетки.
Если давать эти препараты ребенку перед сном, то ночные приступы кашля можно избежать:
- Левопронт. Этот препарат назначается детям с 2 лет. Дозировка зависит от веса ребенка и не должна превышать 3 раз в день.
- Бронхостоп. Рекомендуется детям с 4 лет, принимать его следует каждые 3 часа по 7 мл.
При влажном кашле используются отхаркивающие средства, которые помогают сделать слизь менее вязкой:
- Грудной эликсир. Обладает противовоспалительными свойствами. Для облегчения кашля детям старше 12 лет рекомендуется давать по 30 капель каждые 4 часа.
- Геделикс. Сироп, который снимает спазмы в бронхах, может быть назначен детям с 2 лет. Его следует принимать трижды в день. Доза для детей старше 10 лет составляет 5 мл, для младших — 2,5 мл.
- Флавамед. Этот препарат разжижает слизь в бронхах. Дети от 2 до 6 лет должны принимать по 2,5 мл за раз, а старше — по 5 мл, 3 раза в день.
Народные методы
Ночной кашель без температуры можно устранить с помощью народной медицины.
Для ребенка используют следующие рецепты:
- Лекарственное средство из лимона, меда и глицерина. Для этого сначала из лимона выжимают сок. Полученная жидкость в равных пропорциях смешивается с медом и глицерином. На этом приготовление лекарства завершается. Употреблять его нужно 6раз в сутки по 1 ч. л.
- Целебный настой из ромашки и мать-и-мачехи. Они берутся в равных пропорциях, заливаются кипятком и настаиваются в течение 60 мин. Полученное средство имеет противовоспалительное и отхаркивающее действие.
- Отвар, приготовленный из почек сосны. Нужно взять ложку сырья, залить ее кипятком и дать настояться примерно 1 ч. Применять готовое средство следует при приступах кашля.
- Шалфей. Для приготовления нужно взять 1 ст. л. сырья, залить 200 мл молока, довести до кипения и затем дать настояться в теплом месте в течение 40 мин. Готовый отвар употребляется вечером перед сном.
- Смесь из бананов и меда. Для приготовления взять 1 банан и натереть на терке. Затем в полученную кашицу добавить 1 ч. л. меда. После тщательного перемешивания смесь нужно поставить на слабый огонь и нагревать в течение 10 мин. Все, что будет приготовлено за 1 раз, ребенок должен съесть за сутки. Давать ему нужно по 1 ч. л.
- Черная редька. Сначала овощ нужно нарезать на небольшие кусочки, а затем подсластить, используя для этого сахар или мед. Примерно через 1,5 ч выделится сок, который нужно будет давать ребенку. Одна порция равна 1 ст. л. Принимать ее нужно каждый час.
- Средство из яиц и молока. Помогает облегчить тяжелый кашель. Для приготовления необходимо прокипятить 1 ст. молока, добавить 1 ч. л. меда и сливочного масла, 1 яичный взбитый желток и 1 щепоть соды.
Прочие методы
Ночной кашель у ребенка без повышения температуры требует создания комфортной обстановки для облегчения состояния.
Для этого следует:
- Обеспечить в помещении оптимальную влажность воздуха, при этом не стоит оставлять ребенка постоянно в постели. Лучше предложить ему спокойные игры. Перед сном полезно провести массаж спины и груди.
- Регулярно предлагать малышу теплые напитки – это могут быть отвары, подогретое молоко или чай. Такие напитки помогут смягчить горло и способствовать отхождению мокроты.
- Применять ингаляции. Используя небулайзер, специальные медикаменты будут глубоко проникать в дыхательные пути, что облегчит выделение мокроты и сократит продолжительность болезни.
- Обратить внимание на рацион питания. Пища должна быть мягкой и жидкой, чтобы не вызывать раздражение в горле.
Возможные осложнения
Приступы кашля у ребенка обычно появляются из-за неправильной работы внутренних органов. Если родители не будут обращать внимание на проблему, когда только появляются ее первые симптомы, состояние ребенка будет ухудшаться.
Могут появиться следующие осложнения:
- воспаление легких;
- бессонница;
- кровохарканье;
- непроходимость дыхательных путей;
- нарушенное мозговое кровообращение;
- обморок;
- удушье.
Если не начать своевременное лечение кашля, у детей могут появиться гнойные осложнения, например, бактериальный плеврит и абсцедирующая пневмония. Некоторые патологии могут быть опасны для жизни.
Ночной кашель без температуры может появиться по разным причинам. Бороться с ним нужно начинать как можно быстрее. Однако прежде необходимо узнать точный диагноз. Помочь в его терапии у ребенка могут как специальные лекарственные препараты, так и народные средства. Лучший вариант – это комплексное лечение.
Оформление статьи: Лозинский Олег
Видео о ночном кашле у ребенка
Кашель, возникающий исключительно во время сна, может быть довольно неприятным и мешать полноценному отдыху. Вот несколько рекомендаций, которые могут помочь справиться с этой проблемой.
Во-первых, важно обратить внимание на условия, в которых вы спите. Убедитесь, что в спальне достаточно влажно. Сухой воздух может раздражать дыхательные пути, что приводит к кашлю. Использование увлажнителя воздуха может значительно улучшить ситуацию.
Во-вторых, попробуйте изменить положение для сна. Иногда кашель может быть вызван тем, что слизь скапливается в горле. Попробуйте спать с приподнятой головой, чтобы облегчить дыхание и снизить вероятность кашля.
Также стоит обратить внимание на возможные аллергены. Пыль, шерсть домашних животных или пыльца могут вызывать аллергическую реакцию, которая проявляется в виде кашля. Регулярная уборка и использование гипоаллергенных подушек и одеял могут помочь уменьшить симптомы.
Если кашель сохраняется, стоит проконсультироваться с врачом. Специалист сможет определить причину и предложить подходящее лечение, которое может включать в себя как медикаментозные препараты, так и народные средства.
Не забывайте, что здоровье – это важный аспект вашей жизни, и забота о нем должна быть в приоритете.
Рекомендации по организации сна для ребенка с ночным кашлем
Организация сна для ребенка, страдающего от ночного кашля, требует особого внимания и заботы со стороны родителей. Правильная обстановка и режим могут значительно облегчить состояние малыша и помочь ему лучше спать. Вот несколько рекомендаций, которые помогут создать комфортные условия для сна:
- Оптимальная температура в комнате: Поддерживайте в детской комнате комфортную температуру, обычно это 18-22 градуса Цельсия. Слишком высокая температура может способствовать пересыханию воздуха и усугублять кашель.
- Увлажнение воздуха: Используйте увлажнитель воздуха, чтобы поддерживать оптимальную влажность в комнате. Сухой воздух может раздражать дыхательные пути и усиливать кашель. Если увлажнителя нет, можно повесить влажное полотенце на батарею или поставить емкость с водой рядом с источником тепла.
- Правильное положение во время сна: Убедитесь, что ребенок спит в полусидячем положении. Это может помочь уменьшить кашель, особенно если он вызван постназальным затеканием или рефлюксом. Используйте дополнительные подушки, чтобы приподнять голову малыша.
- Чистота и порядок: Регулярно проводите уборку в комнате, чтобы избежать накопления пыли и аллергенов, которые могут спровоцировать кашель. Обратите внимание на текстиль: постельное белье и игрушки должны быть чистыми и не содержать пыли.
- Избегайте раздражителей: Убедитесь, что в комнате нет резких запахов, таких как табачный дым, парфюмерия или химические средства. Эти факторы могут усугубить состояние ребенка и вызвать кашель.
- Соблюдение режима сна: Постарайтесь установить четкий режим сна. Регулярное время укладывания и пробуждения поможет организму ребенка адаптироваться и улучшит качество сна.
- Спокойная атмосфера: Создайте расслабляющую обстановку перед сном. Чтение книг, тихая музыка или спокойные разговоры помогут ребенку успокоиться и подготовиться ко сну.
- Консультация с врачом: Если ночной кашель у ребенка продолжается долго или усиливается, обязательно проконсультируйтесь с педиатром. Врач сможет дать рекомендации по лечению и поможет выявить возможные причины кашля.
Следуя этим рекомендациям, вы сможете создать комфортные условия для сна вашего ребенка, что поможет ему легче переносить ночной кашель и улучшит качество его отдыха. Помните, что забота о здоровье малыша — это прежде всего внимание и любовь, которые вы ему дарите.
Вопрос-ответ
Что успокаивает кашель ночью?
Лучше лечь спать с полупустым желудком, чем с переполненным. Спать с приподнятым изголовьем. Если в положении лежа сухой кашель у взрослого пациента усиливается, то подкладывание под голову нескольких подушек может облегчить состояние. Такой способ помогает предотвратить заброс остатков пищи в глотку и пищевод.
Что успокаивает кашлевой рефлекс?
Наркотические противокашлевые препараты. В эту группу входит кодеин, морфин, дионин, декстрометорфан и другие препараты. Препараты этой группы подавляют кашлевой рефлекс, угнетая кашлевой центр в продолговатом мозге.
Что можно дать ребенку перед сном от кашля?
Если ваш ребенок не может спать, потому что его беспокоит сухой, раздражающий кашель, можно воспользоваться сиропом с экстрактом исландского мха “Гербион” или сиропом с экстрактом подорожника “Гербион”. Оба сиропа представляют собой природное противокашлевое средство местного действия (не подавляют кашлевой центр).
Советы
СОВЕТ №1
Обратите внимание на влажность воздуха в комнате. Сухой воздух может усугубить кашель, поэтому используйте увлажнитель или просто поставьте емкость с водой рядом с источником тепла. Это поможет облегчить дыхание и снизить раздражение горла.
СОВЕТ №2
Проверьте, нет ли у ребенка аллергии на пыль, шерсть животных или другие аллергены. Регулярная уборка и использование антиаллергенных подушек и одеял могут помочь снизить симптомы и предотвратить ночной кашель.
СОВЕТ №3
Попробуйте дать ребенку теплый напиток, например, травяной чай или теплую воду с медом (если ребенку больше одного года). Это может помочь успокоить горло и уменьшить кашель перед сном.
СОВЕТ №4
Если кашель продолжается более нескольких дней или сопровождается другими симптомами, такими как одышка или свистящее дыхание, обязательно обратитесь к врачу. Это поможет исключить более серьезные заболевания и получить правильное лечение.






